Superior Material with Integrated Lattice for Best Results

Inherently strong, radiolucent, and with proven osseo-integrative properties, OXPEKK® represents a novel upgrade to orthopedic plastics. Further, it can be 3D printed in order to create a truly porous OsteoVy™ PEKK lattice structure.
LumiVy™ OsteoVy™ PEKK family is available in a vast variety of footprints, sizes, and lordotic angles.

OsteoVy™ PEKK is manufactured from biocompatible OXPEKK® polymer, which has been evaluated for osseointegration through in-vitro and in-vivo studies utilizing animal models, yielded superior results. PEKK implants demonstrated bone ingrowth, no radiographic interference, no fibrotic tissue membrane formation, significant increase in bony apposition over time, and significantly
higher push-out strength compared to standard PEEK. The PEKK implant displayed bone growth characteristics comparable to Ti-coated PEEK with significant improvements in implant integrity and radiographic properties.
Cheng, B., Jaffee, S., Averick, S., Swink, I., Horvath, S., & Zhukauskas, R. (2020). A comparative study of three biomaterials in an ovine bone defect model. The Spine Journal, 20(3), 457-464 (data is derived from in vivo studies)

OsteoVy™ PEKK material demonstrated greater osteoblast adhesion and calcium deposition on the implant surface compared to PEEK and Titanium. There has been shown increased initial calcium and select protein adsorption on PEKK compared to PEEK and Titanium, the main mechanism of action which promoted osteoblast density. Taken together, PEKK demonstrated optimal surface properties to promote osteoblast functions.
OsteoFab® Surface Properties:Bacteria Inhibition and Osteoblast Functions. Presented by Thomas Webster, Ph.D., Northeastern University October 19, 2020. (data is derived from in vivo studies)

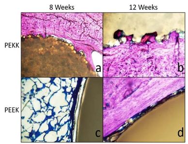
The in vivo bone response to OsteoVy™ PEKK compared to machined PEEK in a rabbit femoral model at 8 and 12 weeks demonstrated bone growing onto the surface of a PEKK rod implant and into the peaks and pits of the rough surface. However, fibrous tissue (blue) was noted surrounding a PEEK rod implant.
OPM Internal Study with Yale University – 2014. Data on file at OPM. (Note: OsteoFab PEKK is another brand name for OsteoVy™ PEKK, data is derived from in vivo studies)

Results of in vitro study indicated decreased adhesion and growth of P. aeruginosa and S. epidermidis on nanorough PEKK surface compared with conventional PEEK surfaces.
Wang, M., Bhardwaj, G., & Webster, T. (2017). Antibacterial properties of PEKK for orthopedic applications. International Journal Of Nanomedicine, Volume 12, 6471-6476 (data is derived from in vivo studies)

OsteoVy™ PEKK material has demonstrated extraordinary vertical fluid conduction through its roughened outer surface, and even more so within the OsteoVy™ lattice structure.
We use cookies to analyze website traffic and optimize your website experience. By accepting our use of cookies, your data will be aggregated with all other user data.